前两天一个妈妈焦急的在网络平台上咨询:说自己的心肝宝宝,才5岁,在跟其他小朋友玩耍的时候,不小心牙齿摔了一跤,门牙给磕掉了一半怎么办?牙大夫口腔儿童齿科咨询师耐心的为这个妈妈解答这个详细的问题,经过一番的咨询,这个妈妈带着小孩来到了牙大夫口腔给儿子做了牙齿缺损的修复。

儿童牙齿缺损怎么办?儿童牙齿畸形怎么办?儿童色素牙怎么办?这些问题只要咨询在线儿科咨询师,专业问题,专业解答!
5岁的孩子门牙磕断了确实影响美观,虽然孩子还小,但是我们也不用太担心了,去医院检查一下就可以了,否则会有以下危害:
5岁的孩子门牙断了不及时的处理,可能会导致牙髓坏死,一旦牙髓坏死就会波及牙根周围组织,以后会影响恒牙的发展所以马虎不得。来医院检查以后我们才可以确定具体的方案。
1、孩子门牙断了不是很厉害:这个时候我们先给孩子的伤口处理一下,如果有炎症,是需要先通过根管治疗,然后在进行补牙的,补牙完成后就再影响我们的恒牙发展了。
2、孩子门牙断了而且厉害:这个时候可能通过补牙不行了,我们可以给孩子处理一下,不用镶假牙,等孩子在大一点来医院进行拔牙,或者是做烤瓷牙冠都是可以的。
儿童牙齿科学治疗——从孩子第一颗乳牙开始!
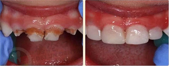
补牙(蛀牙),门牙磕掉一半,儿童乳牙缺损。乳前牙美学修复——迅速恢复前牙美观
技术介绍:将一个预先成型、与乳前牙外形贴合的透明牙冠恢复缺损或龋坏前牙的美观、发音、咀嚼功能,有效保护缺损较大的乳前牙至替牙期,从而保证恒牙顺利萌出。
技术优势:表明光洁度高,不易沉积色素;操作时间短 儿童易配合;脱落率低 不易发生继发龋齿。
适应症:儿童乳前牙龋坏。


